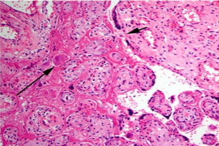
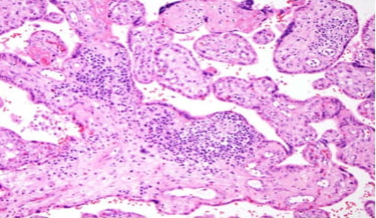
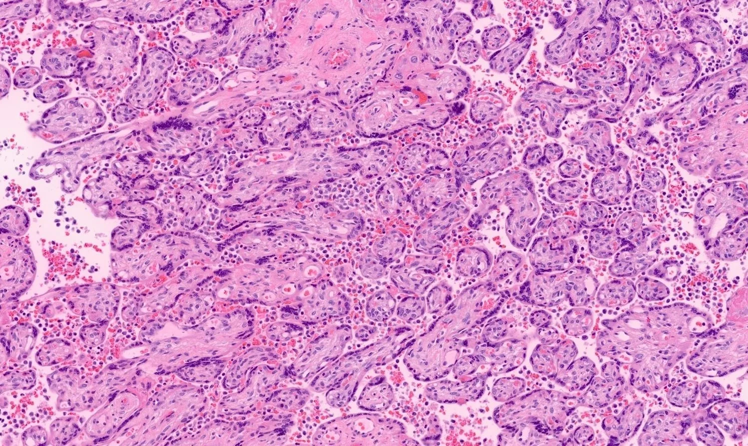
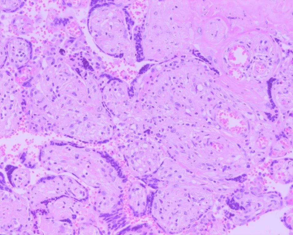
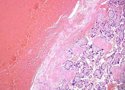
Abnormal Immune Placentation

Familiarity with the underlying pathophysiology of abnormal development of the placenta (abnormal placentation) and its known clinical associations is of paramount importance, as adverse perinatal outcomes are associated with abnormal placentation.

The four most common patterns of abnormal placentation/placental injury are:

A. Vascular:

1. Maternal vascular malperfusion

2. Foetal vascular malperfusion

B. Inflammatory:

3. Acute chorioamnionitis

4. Chronic villitis of unknown/immune etiology (non‑infectious)

Other subtypes include massive perivillous fibrin deposition, placental infarcts, and chorioangiosis.

Healthy placentation and placental development throughout pregnancy are crucial to maintaining a healthy pregnancy, and so we monitor patients beyond their first trimester.

Our research and experience show a cohort of patients who experience repeated implementation failures or recurrent miscarriages are likely to be at higher risk in the second, or sometimes third, trimester.

For this cohort and others, immunotherapy is useful as a risk reduction strategy, as well as helping disease modification of abnormal placentation.

Examples of abnormal immune placentation

Next
Next

Transplant Rejection and the Placenta